MicroDicom x64
Welcome to the hub for the innovative software, MicroDicom x64, a masterpiece developed by the genius Simeon ... student seeking a tool to study medical images, MicroDicom x64 is the perfect software for you. It's ...

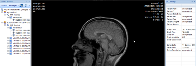
Explore the world of medical imaging with the innovative software, "MicroDicom" developed by Simeon Antonov Stoykov. This Windows 10 compatible software is a game-changer in the field of DICOM (Digital Imaging and Communications in Medicine) files. It provides an intuitive interface that allows users to view, manipulate, and manage DICOM images with ease. With its robust features, it caters to both professionals and students in the medical field. MicroDicom is your one-stop solution for all DICOM related tasks. Experience the seamless blend of functionality and simplicity with MicroDicom!
| Author: | Simeon Antonov Stoykov |
| License: | Freeware |
| Price: | FREE |
| Released: | Jun 6, 2024 |
| File size: | 10.00 MB |
| Downloads: | 194 |
| Keywords: | DICOM viewer, viewer, medical imaging software, Windows 10 compatible, view DICOM image, view, DICOM image editor, x64 architecture, edit DICOM image, Simeon Antonov Stoykov, DICOM, MicroDicom |
| Author URL: | http://www.microdicom.com/ |
Welcome to the download page for MicroDicom, a revolutionary Windows 10 software developed by the brilliant Simeon Antonov Stoykov. MicroDicom is a game-changer in the world of DICOM viewers, offering a user-friendly interface and a plethora of features that make it a must-have for professionals in the medical imaging field.
This software is designed to provide you with an easy-to-navigate platform to view, manage, and store DICOM images. It supports a wide range of image formats and offers a variety of tools for image manipulation, making it an all-in-one solution for your DICOM viewing needs.
MicroDicom stands out for its simplicity and efficiency, making it accessible for both beginners and experienced users. Its advanced features, such as the ability to export DICOM images to other formats, and its compatibility with various DICOM modalities, make it a versatile tool that can adapt to your specific needs.
The software is lightweight, ensuring smooth performance without compromising your system's resources. It is also regularly updated to keep up with the latest advancements in DICOM technology, ensuring you always have the best tool at your disposal.
Download MicroDicom today and experience the difference of a superior DICOM viewer.